#medycyna
Zaloguj się aby komentować
#ciekawostkimedyczne
Aniridia to zaburzenie polegające na niewykształceniu się tęczówki, czyli struktury mięśniowej regulującej ilość światła wpadającego do oka. Może mieć podłoże genetyczne albo spontaniczne. Dotyka 1 na 40 000-100 000 ludzi.
Defekt ten wiąże się z wieloma problemami i stanowi poważne ryzyko dla zmysłu wzroku osoby nim dotkniętej. Aniridii może towarzyszyć zaćma, oczopląs, amblyopia (tzw. leniwe oko), woloocze (czyli powiększenie gałki ocznej). Osoby nią dotknięte cierpią zwykle na światłowstręt.
Leczenie przyczynowe nie istnieje, natomiast kilka lat temu dopuszczono do użytku sztuczne tęczówki, które minimalizują światłowstręt i poprawiają estetykę. Z uwagi na częstość występowania jaskry wykonuje się u osób z aniridią zabiegi usuwania jaskry. Poza tym stosuje się okulary przeciwsłoneczne i soczewki mające chronić oczy.
Na zdjęciu po lewej — oko dotknięte aniridią bez tęczówki, po prawej — oko zdrowe.
#medycyna #oczy #choroby


@Wrzoo o, Riddick
Zaloguj się aby komentować

Mózg może zacząć „zjadać sam siebie” podczas wyczerpującego wysiłku
Naukowcy badający metabolizm mózgu odkryli, że podczas długiego, wyczerpującego wysiłku fizycznego, mózg może zacząć „zjadać” własną mielinę, traktując ją jako paliwo. Na szczęście zmiany te są odwracalne.
Osłonka mielinowa zwana też mieliną to złożona tkanka tłuszczowa, która osłania aksony nerwów...

Bankructwo medycznej spółki. Badania DNA 15 mln ludzi mogą pójść na sprzedaż
Zajmująca się testami DNA spółka 23andMe ogłosiła bankructwo, a losy jej bazy danych zawierającej badania 15 mln ludzi stoją pod znakiem zapytania. Niegdysiejsza gwiazda genetyki konsumenckiej zaliczyła bolesny upadek, a jej giełdowa kapitalizacja stopniała z 6 mld do 20 mln dolarów.
#gospodarka...
Trust issues intensifies
#medycyna #zdrowie #znanylekarz #uokik
@dolchus jo, tam to wszyscy mają za⁎⁎⁎⁎ste opinie xD już to kiedyś pisałem, że jak ktoś już musi skorzystać z lekarzy, którzy ogłaszają się w tym serwisie to po prostu trzeba zapisywać się tylko do tych ładnych lekarek, a w przypadku kobiet - przystojnych lekarzy xD innego obiektywnego kryterium nie ma. Tam każdy jest mistrzem w swojej specjalizacji i miał praktykę w poliklinice DŻEMELLI czy gdzieś xD
@evilonep Na Google Maps pewnie też. Ostatnio przeglądałem dentystów i wiele komentarzy takich sztucznych, w podobny sposób piszących superlatywy z podaniem imienia i nazwiska lekarza, nie ważne jaka przychodnia.
Zaloguj się aby komentować

Media: 30-latek z podejrzeniem błonicy trafił do szpitala. Jest w ciężkim stanie
Lekarze podejrzewają przypadek błonicy u 30-letniego pacjenta Wojewódzkiego Szpitala Specjalistycznego w Olsztynie. Mężczyzna ma być w stanie ciężkim: jest nieprzytomny i zaintubowany. Wg ustaleń mężczyzna przyjechał do Olsztyna z Siedlec. Do szpitala zawiozło go pogotowie ratunkowe, które zabrało...

Odkryto pierwszy lek, który daje takie skutki jak fizyczna rehabilitacja po udarze?
Badacze z Uniwersytetu Kalifornijskiego w Los Angeles twierdzą, że stworzyli pierwszy lek, który na modelu mysim w pełni naśladuje efekty fizycznej rehabilitacji u ofiar udarów. W artykule, opublikowanym na łamach Nature Communications, naukowcy opisali wyniki badań nad dwoma substancjami, z...

Jak właściwie działają szczepionki?
Po pandemii covid-19 nie miałem w planach wracać do tematu szczepionek. Kiedy jednak w szpitalach pojawiają się pacjenci ciężko chorzy na – wydawałoby się – choroby dawno opanowane dzięki szczepieniom, a cieszący się niemałym poparciem kandydat na prezydenta nawołuje do odwołania obowiązku...

Jak zmaksymalizować TESTOSTERON i co go ZABIJA? dr Marta Mazur
Dr n.med. Marta Mazur, jedna najbardziej pionierskich europejskich lekarzy i ekspertów zajmujących się zdrowiem hormonalnym mężczyzn i kobiet. Prekursorka nowoczesnej andrologii w Polsce. Endokrynolog i androlog. Twórczyni projektu Alfa i projektu Wenus.
Rozmawialiśmy m.in. o tym, dlaczego...
Dostanę finasteryd na łysienie od pierwszego lepszego dermatologa czy boją się i najpierw będzie polecał wcierać wyciąg z odchodów gniewosza plamistego? XD
Kiedyś poszedłem, żeby dał mi typ izotek, to mnie wysłał na jakieś kwasy dla kobiet i wyjebałem 650 zł, żeby przez 2 tygodnie mieć lepszy ryj, a do tego standardowe pierdolenie o jedzeniu ostrego, czekolady i nabiału, które każdy debil znajdzie w pierwszym wyniiku w google.
#zdrowie #medycyna
Nie dziwie sie, bo izotek jest w c⁎⁎j toksyczny. Finasteryd dostaniesz tez odandrologa
Najlepiej jak pacjenci sami się diagnozują, szczególnie w google. Ostatnio również hitem jest diagnozowanie się w sztucznej inteligencji
Nie wiem, ja swego czasu ogarnialem to przez któryś receptomat. Jak już ogarniesz to pamiętaj o tym by robić go w wersji topical - psiukanej na głowę w małym stężeniu i obserwować reakcje organizmu. Z finasterydem nie ma zartów, nie wiem na ile to prawda ale słyszałem w necie nad pracami aby zakazać w jakimś kraju finasterydu na łysienie ze względu na wywoływane samobójstwa. Więc jeżeli jakkolwiek zmieni się twoje stan psychiczny po jego przyjmowaniu to lepiej odstaw zamiast myśleć że to nie od tego.
@pokeminatour to nie mit, działaniem ubocznym mogą być huśtawki nastrojów i myśli samobójcze. Naprawdę lepiej być łysym niż to brać.
@Iknifeburncat wiem bo sam tego doświadczyłem, tylko nie wiem na ile jest to przyczynowość a na ile korelacja. U mnie to było kolejno brainfog huśtawki nastroju i wzmocnienie objawów ADHD. Finasteryd obniża dht który jest silniejszym hormonem od testosteronu i obniża go mocno w zależności od dawki np o 80 procent. W zależności od poziomów i wrażliwości hormonów efekty przyjmowania mogą być rozne, jakiś procent na skutki uboczne a jakiś nie. Jak ktoś akceptuje ryzyko to może spróbować byleby wiedział z czym to się może wiązać
Zaloguj się aby komentować
Dwa tygodnie temu chwaliłem się swoim nowym aparatem ortodontycznym. Ponieważ mój wpis zebrał dość dużo piorunów, postanowiłem napisać krótką recenzję. Specjalnie nie czekam na zakończenie leczenia ponieważ mam nadzieję że moja opinia komuś pomoże w podjęciu dobrej decyzji.
Zacznijmy od tego, że mieszkam na stałe w UK, ale ponieważ angielscy ortodonci mnie przerażają, ciągle odkładałem leczenie. Na szczeście znajoma poleciła mi polskiego ortodontę w Londynie w i końcu się zdecywałem.
Zamiast tradycyjnych drutów, wybrałem system Spark 20. To plastikowe "szyny", które muszę nosić co najmniej 22 godziny dziennie. Są wykonane z plastiku, który bardzo przypomina ten używany do produkcji zwykłych butelek (LDPE). Szyny zdejmuję tylko do jedzenia oraz do picia gorących napojów. Po tygodniu zmieniam szyny na nowe.
Samo "założenie aparatu" polegało na przyklejeniu do zębów 12 attachmentów. Zajęło około 5 minut i było kompletnie bezbolesne, cały zabieg został wykonany bez znieczulenia. Po 10 tygodniach dodatkowe attachmenty zostaną przyklejone do moich przetrzonowców i trzonowców.
Największy dyskomfort odczuwam przez pierwszy dzień po zmianie szyn. Przy czym, znika on maks około 15 minut po założeniu szyn. Nic więcej, żadnego bólu, żadnego orania policzków drutami. Po upływie kilku dni nawet nie czuję, że mam szyny na zębach. Już kilka razy sprawdzałem, czy na pewno nie zapomniałem ich założyć po posiłku. Częściowo pewnie wynika to z faktu, że zmieniam szyny dość często, a więc zmiany w moim zgryzie mogą być stopniowe. Nie muszę jeździć do ortodonty, który będzie mi fundował jakieś wielkie aktywacje. Co ciekawe, czuję dokładnie które szyny przesuwają mi które zęby. Na przykład poprzedni zestaw przesuwał mi prawą dolną trójkę, a obecny zaczął mi zamykać diastemę pomiędzy górnymi jedynkami. Czasem te zęby śmiesznie swędzą.
Higiena jamy ustnej nie sprawia mi żadnych problemów. Zdejmuję szyny i myję zęby jak zwykle. Potem znowu zakładam szyny. Żadnego gimnastykowania się z czyszczeniem zamków czy innych cudów.
Nie wiem czy w Polsce jest dostępny 10/11. Słyszałem, że niektórzy ortodonci oferują podobny system - invisalign. Ale on jest podobno gorszy. Szyny zmienia się raz na miesiąc, są bardziej bolesne i szybko się brudzą.
Ogółem, jak na razie 11/10.
#zdrowie #medycyna #ortodoncja
miałem invisialign, również bardzo polecam, nakładki wymieniałem różnie co 10-14 dni, ortodontka zmieniała terminy w trakcie.
Całe leczenie trwało 9 miesięcy, potwierdzam, prawie bezboleśnie, tyle że po zamianie nakładki czujesz lekki ucisk na zęby. Wymagana jest też zwiększona higiena zębów - mycie i nitkowanie po każdym jedzeniu.
Jedyną wadą jest cena, ja płaciłem 16k
Przy zdejmowaniu atatchmentów warto dopilnować żeby ci wypolerowali zęby bo zostają resztki tego cementu i potem drażnią chropowate zęby
Zaloguj się aby komentować
Co ciekawe, większość osób w wieku emerytalnym odczuwa mniej boleści pleców i odkrywa, że z niego „wyrosła". Mówią oni, że najgorzej czuli się, gdy mieli po 30-40 lat. Natura zabudowała stawy ich pleców chrząstkami, by ograniczyć bolesne mikroruchy. Ile starszych osób uskarża się na ból pleców? Prawda jest taka, że niewiele. Aby upewnić się, iż nie będziesz jedną z nich, już teraz zacznij zajmować się eliminowaniem swojego bólu.
Charakter bólu pleców w dużej mierze zależy od naszego wieku. Ból dyskogenny to ból powodowany przez uszkodzony krążek międzykręgowy, bardzo popularny u ludzi młodych, a rzadki u osób starszych. Różnica jest taka, że osoby starsze cierpiące na bolesność pleców najczęściej zmagają się z zapaleniem stawów albo stenozą (zwężeniem kanału kręgowego powodującego ucisk na nerwy). Zawsze więc powinniśmy brać pod uwagę wiek, kiedy dopasowujemy przyczynę bólu do terapii, ponieważ często starsi pacjenci walczą z innymi problemami niż osoby młode.
(Mechanika zdrowych pleców McGill)
#medycyna #fizjoterapia #zdrowie #hejto30plus

Zaloguj się aby komentować

Ciąża trwale przekształca jelita ssaków - przełomowe odkrycie europejskich biologów
Europejscy naukowcy z brytyjskiego Instytutu Francisa Cricka (FCI) dokonali fascynującego odkrycia, które może zmienić nasze rozumienie wpływu ciąży na organizm ssaków.
Badania prowadzone na myszach wykazały, że pierwsza ciąża powoduje znaczące i częściowo nieodwracalne zmiany w strukturze jelit,...
J⁎⁎ać prądem antyszcepów. Nie zapraszam do dyskusji bo nie ma o czym.
Sześcioletni pacjent, u którego stwierdzono błonicę to jeden z pierwszych przypadków, jaki potwierdzono od lat. Dziecko nie było zaszczepione, wróciło z wakacji z Zanzibaru. Leży na oddziale intensywnej terapii Wojewódzkiego Szpitala Specjalistycznego im. Gromkowskiego we Wrocławiu.
#wiadomoscipolska #medycyna #szczepienia
Też mnie to za przeproszeniem wkurwia
Tacy jedni debile narażają tyle ludzi
@walus002 Co do ogólnej tezy się zgadzam, ale zastanawia mnie co innego.
Piszą, że dawkę przypominającą powinno się brać co 10 lat. Są gdzieś statystyki, jaki procent społeczeństwa w ogóle zawraca sobie głowę dawkami przypominającymi? Obstawiałbym, że większość zaszczepionych w dzieciństwie żyje sobie w przeświadczeniu, że są odporni na tę błonicę, a rzeczywistość może być całkiem inna. I absolutnie nie muszą to być żadne antyszczepy.
No ale są jeszcze szczepienia zalecane przed wyjazdem do egzotycznego kraju. Tylko przy Zanzibarze też nic o błonicy nie ma.
https://www.gov.pl/web/psse-swinoujscie/szczepienia-przed-podroza---egzotyczne
@Shagwest prawie nikt. Nie znam nikogo (dowód anegdotyczny mocno), kto by się szczepił jako dorosły na te choroby. Sam już 4 rok wybieram się po szczepienie na tężec. XD
@Shagwest jak się wybierałem do Meksyku to poszedłem do lekarza medycyny podróży i zrobiłem wszystkie jakie zalecał, w tym Boostrix Polio, który jest na błonicę, tężec, ksztusiec i polio.
@walus002 j⁎⁎ać Grzesiowskiego mendę społeczną- młyn na wodę antyszczepów (ale także j⁎⁎ać szczepionkę na covida).
Zaloguj się aby komentować

Badacze z UJ i UW pracują nad endoskopem do ratowania życia noworodków
Zespół badaczy z Uniwersytetu Jagiellońskiego i Uniwersytetu Warszawskiego finalizuje prace nad nowym urządzeniem wspomagającym leczenie zaburzeń oddychania u wcześniaków. To zminiaturyzowany endoskop połączony z sondą i dozownikiem leku. Urządzenie ma ułatwić leczenie, a także ograniczyć wysokie...
#ciekawostkimedyczne
Zespół słonecznika - określany również jako samoistna padaczka światłoczuła to rzadkie schorzenie epileptyczne, charakteryzujące się specyficznymi napadami wywoływanymi przez światło. Podczas takich napadów osoby dotknięte tym zespołem odwracają głowę w kierunku jasnego źródła światła, najczęściej słońca, jednocześnie machając ręką przed oczami. Ten charakterystyczny ruch ręki jest skorelowany z nagłymi przerwami w świadomości.
Pierwsze objawy tego zespołu pojawiają się w dzieciństwie (częściej u dziewczynek) i obejmują początkowe skierowanie twarzy w stronę jasnego światła, po którym następują napady z machaniem ręką i zaburzeniami świadomości.
Obecnie nie ma standardowych testów laboratoryjnych czy klinicznych do diagnozowania zespołu słonecznika. Jednakże u osób z tym zespołem obserwuje się nieprawidłowe wyniki EEG z cechami charakterystycznymi dla padaczki uogólnionej.
Z racji braku kontrolowanych badań klinicznych oceniających skuteczność leczenia nie jest jasne, które leki przeciwpadaczkowe są najbardziej efektywne. Niektórzy pacjenci zgłaszają, że unikanie jasnego światła poprzez noszenie czapek z daszkiem, okularów przeciwsłonecznych czy specjalistycznych okularów spawalniczych może pomóc w redukcji częstości napadów. Inni zauważają, że skupienie się na konkretnych zadaniach w obecności jasnego światła może zmniejszyć częstotliwość epizodów machania ręką.
Wideo przedstawiające charakterystyczny objaw machania ręką przed twarzą:
https://www.youtube.com/watch?v=s-qInwHwy3o
#medycyna #choroby #padaczka

@Wrzoo jak byliśmy z młodym na EEG to pani technik nam tłumaczyła, że padaczka to też spektrum. I podpytywała o zachowania młodego, bo u niektórych dzieci objawia się to tylko chwilowymi "zawiechami". I najciekawsze, że nawet to znajduje odbicie w zapisie
Także padaczka to nie tylko te takie mocne napady
@moll dokładnie — odmian epilepsji i stopni jej natężenia jest multum. Pomijając jej destrukcyjne działanie, jest po prostu niezwykle ciekawym schorzeniem
@Wrzoo no nie wiem xD za to super, że diagnostyka coraz lepsza
Z racji, że napad może być wywołany efektami stroboskopowymi, to wygląda jakby epilepsja sprawiała, że ciało wywołuje jej jeszcze więcej.
Chorobowe AI.
ja jak spojrze na slonce to kicham
Zaloguj się aby komentować

Błonica - choroba nieco w Polsce zapomniana
Błonica to przykład choroby zakaźnej, którą w Europie praktycznie wyeliminowało wprowadzenie obowiązkowych szczepień. Obecnie w europejskich krajach zgony z powodu błonicy zdarzają się raz na kilkadziesiąt lat, zwykle u niezaszczepionych dzieci. Gorzej wygląda sytuacja w Afryce czy Azji.
Jako...
#ciekawostkimedyczne
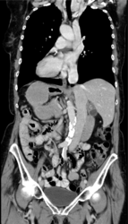
Situs inversus, po polsku znany pod wdzięczną nazwą "zespół odwrócenia trzewi", to rzadkie schorzenie, w którym główne narządy wewnętrzne są rozmieszczone lustrzanie względem ich normalnej pozycji. Oznacza to, że serce, zamiast być umieszczone lekko po lewej stronie klatki piersiowej, znajduje się bardziej po prawej (dextrocardia). Inne organy, takie jak wątroba, śledziona czy żołądek, również są odwrócone.
Szacuje się, że situs inversus występuje u około 1 na 10 000 osób. W większości przypadków nie powoduje to żadnych objawów ani problemów zdrowotnych: układ i funkcje narządów pozostają zachowane i nie ma to wpływu na ich działanie. Natomiast u około 5–10% osób z tym schorzeniem mogą występować wady serca.
Osoby z situs inversus często nie są świadome swojego nietypowego ułożenia narządów (nawet przez wiele lat), aż nie zostaną poddane badaniom obrazowym z innych powodów.
Situs inversus może występować w dwóch głównych formach:
-
situs inversus totalis: pełne odwrócenie wszystkich narządów wewnętrznych.
-
izolowana lewokardia: serce pozostaje po lewej stronie, zaś inne narządy są odwrócone; ta forma jest występuje rzadziej i często wiąże się z wadami serca.
Ciekawostka: jeszcze rzadziej występującą odmianą tej przypadłości jest heterotaksja (Situs ambiguus), w ramach której rozmieszczenie narządów jest nieregularne. To z kolei może prowadzić do poważniejszych problemów zdrowotnych.
https://en.wikipedia.org/wiki/Situs_inversus
#medycyna #ciekawostki #bebechy



@Wrzoo kiedy twoje flaki zagrają uno reverse card

@Wrzoo olewaj system!
I potem zdziwko lekarza "ale ma pan(i) wielką śledzionę, taką to można zabić"
@RogerThat to ten słynny "krakowski spleen"
Zaloguj się aby komentować

Czy doskonały lek na raka istnieje, ale jest ukrywany?
Według badania Eurobarometru z 2024 roku ponad 40% Polaków uważa, że bardzo skuteczny „lek na raka istnieje”, ale firmy farmaceutyczne go ukrywają. Są kraje europejskie, w których odsetek takich osób był nawet wyższy w tym badaniu. Twierdzenie, że istnieje taki uniwersalny, ale skuteczny i...

Eksperci alarmują: 4,7 mln Polaków cierpi na przewlekłą chorobę nerek; tylko 5 proc. z nich jest tego świadomych
W Polsce na przewlekłą chorobę nerek choruje 4,7 mln osób, ale jedynie 5 proc. z nich ma postawioną diagnozę - alarmują eksperci z okazji Światowego Dnia Nerek, obchodzonego 13 marca. Tymczasem nieleczona choroba prowadzi do skrajnej niewydolności nerek, która wymaga leczenia nerkozastępczego.
W...




