Selma doznała katastrofalnych szkód, gdy tornado wylądowało w środkowym hrabstwie Alabama w czwartek, uszkadzając Domki mobilne, obalając drzewa i zabijając co najmniej sześć osób.

Miszcz_Joda
- 553wpisy
- 612komentarzy
Zaloguj się aby komentować
Ponad 70 000 pracowników na 150 uniwersytetach w Wielkiej Brytanii będzie strajkować przez 18 dni między lutym a marcem w sporach dotyczących wynagrodzeń, warunków pracy i emerytur, powiedział University and College Union (UCU) w czwartek.
@Niggauke przynajmniej sobotę i niedziele sobie wolna robią
Zaloguj się aby komentować
W niemieckich szkołach od kilku lat istnieje wiele problemów. Są one związane głównie z brakiem nauczycieli, systematycznie odwoływanymi lekcjami, a także niezadowoleniem rodziców z jakości edukacji. Jednak wraz z początkiem masowego napływu ukraińskich uchodźców do kraju sytuacja zmieniła się w obecny stan wyjątkowy.
Obecnie ponad 200 000 dzieci uchodźców z Ukrainy uczęszcza do niemieckich szkół. Instytucje edukacyjne biją na alarm, ponieważ obciążenie pracą gwałtownie wzrosło. Sytuacja miejsc w przedszkolach jest jeszcze bardziej napięta. Kluczowym problemem jest brak nauczycieli w szkołach. "System edukacyjny jest na skraju upadku" - powiedział w oświadczeniu przewodniczący Niemieckiego Związku Nauczycieli Meike Finnern.
Według szacunków Niemieckiego Związku Nauczycieli obecnie w RFN brakuje około 40 tys.nauczycieli. Z tego powodu większość ukraińskich dzieci nie może uczyć się języka niemieckiego, którego potrzebują.
Zaloguj się aby komentować
Posłowie Lewicy i Koalicji Polskiej wsparli PiS we wprowadzaniu oszustwa wyborczego, które ma uniemożliwiać udział w wyborach Polakom mieszkającym za granicą.
Głosowanie z paszportem ma być zakazane - chce PiS.
@kwahu666 dlatego napisne jest, że wsparli
@Miszcz_Joda ale to sugeruje że mieli na to jakiś wpływ. Nieważne jak zagłosowali. Winny jest pis bo jego głosy wystarczają. Dla jasności. Opozycja to niestety głównie idioci. Tylko takie pisanie to rozmywanie winy tych największych w historii polski złodziei.
@kwahu666 bo mieli jakis wplyw, jesli wsparli, zaglosowali to mieli, taka jest prawda. Oczywiscie prawda tez jest, ze PIS moze przepychac co sobie tylko chce.
Zaloguj się aby komentować
Niemiecka policja przymusowo eksmituje działaczy klimatycznych okupujących wioskę Lutzerath, protestowali aby powstrzymać rozbudowę lokalnej kopalni węgla.
Rząd Niemiec wznawia wydobycie węgla oraz otwiera dawniej zamknięte kopalnie.
Zaloguj się aby komentować
Premier Iraku ujawnia powody swojej wizyty w Niemczech
Nasza wizyta różni się od poprzednich wizyt byłych urzędników tym, że obejmuje plan współpracy między dwoma krajami, protokoły ustaleń, które zostaną natychmiast wdrożone dzięki przydzielonym środkom finansowym oraz wstępne umowy, które zostaną sfinalizowane podczas wizyty.
Ważne punkty zawarte w wizycie są związane z elektroenergetyką, gdzie zostanie podpisane memorandum of understanding, zawierające punkty przedstawiające obiecujący Plan rozwoju sektora elektroenergetycznego z firmą Siemens w zakresie produkcji, transportu i dystrybucji.
Podczas wizyty zostaną zaprezentowane ważne możliwości w zakresie gazu ziemnego i gazu ziemnego, a także inne możliwości w sektorze petrochemicznym, a także zwrócimy uwagę na oś zmian klimatu, a także inicjatywy i programy w zakresie rozwoju społecznego, szkolenia i szkolnictwa wyższego, a także współpraca finansowa i bankowa.
Zaloguj się aby komentować
Starożytne struktury Majów dopasowano do tajemniczego 260-dniowego kalendarza
Starożytne kultury mezoamerykańskie używały skomplikowanych 260-dniowych kalendarzy opartych na zaawansowanej wiedzy o Układzie Słonecznym. Jednak jak długo ludzie używali tego systemu pomiaru czasu? To nadal jest niejasne, ale nowe badania sugerują, że starożytny kalendarz używany przez Majów i Olmeków może sięgać już 1100 roku p.n.e., czyli o wieki wcześniej niż, dotychczas sądzono.
Zrozumienie pojmowania czasu przez kultury prekolumbijskie jest trudne ze względu na brak źródeł pisanych. Jednak naukowcom udało się odkryć tajemnice systemu kalendarzowego, który oparty był na obserwacjach astronomicznych. W zgodzie z nim budowniczowie Majów...
Niemieccy żołnierze będą stacjonować w Polsce. Prezydent wydał zgodę
Prezydent Andrzej Duda podpisał dokument, w którym wyraził zgodę na stacjonowanie w Polsce żołnierzy Bundeswehry - informuje IAR. Mundurowi będą obsługiwać wyrzutnie Patriot, które trafią do Polski. Pierwsi żołnierze mają dotrzeć do naszego kraju po weekendzie.
IAR informuje, że mowa o kilkuset wojskowych, którzy wraz z systemem obrony przeciwlotniczej i przeciwrakietowej Patriot będą stacjonować na Lubelszczyźnie. Lokalizacja jest uzgodniona z Dowództwem Operacyjnym Sił Zbrojnych, w porozumieniu z kierownictwem resortu obrony.
@jjot W bibli liczba siedem jest szczególnie ważna. I jest użyta kilkukrotnie np. Kiedy jahwe groził, że ukaże ludzi karą miało być potępienie itd. do siódmego pokolenia
@drakash Bo w razie W Polacy użyliby Patriotów, a tak to Patrioty niby są, ale tak jakby ich nie ma, bo to niemiaszki decydują kiedy ich użyć. Takie Patrioty Schroedingera.
@drakash podobno szkolenie z obsługi trwa 2 lata
Zaloguj się aby komentować
Granatnik, podnośnik, nastolatki w radiowozie. Serie wpadek pogrążają policję
Pompowanie pieniędzy na pensje policjantów nie dało efektów. Masowe odejścia i serie wpadek pogrążają mundurowych.
Do serii dołączył ostatnio wypadek radiowozu pod Warszawą, do którego dwaj policjanci zabrali – nie wiadomo w jakim celu – dwie nastolatki, a gdy samochód się rozbił, nie udzielili im pomocy. Z kolei we wtorek, w dzień miesięcznicy smoleńskiej, wątpliwości wzbudzili policjanci w strażackim wysięgniku, zaglądający do mieszkania, w którym byli działacze Lotnej Brygady Opozycji.
Przykład idzie z góry. Dopóki policją zarządza przestępca M. Kamiński ułaskawiony wbrew prawu przez Dudę, dopóki prokuratura będzie kierowana przez miałkie zero i dopóki tym krajem rządzą cwaniaczki i miernoty, które jedynie okopują i betonują władzę przed suwerenem, to tak to będzie, niestety, wyglądać.
Znam kilku policjantów. Problemem w tej w formacji jest przede wszystkim kierownictwo. Każdy dostaje jakieś rozkazy, które idą z samej góry a konkretnie z Żoliborza. Jak się nie dostosujesz to dostaniesz takie stanowisko że prędzej czy później pożałujesz swej decyzji. W większości komend panuje jedna zasada że lepiej się nie wychylać bo Cię kierownik udupi
@Taki_sobie to takie samo tłumaczenie jak ruskich żołnierzy, których złapano. "mnie kazali, ja nie mogłem inaczej". Tylko że z policji można odejść jak się ma godność. I w d⁎⁎ie mieć kierownika, komendanta i całą resztę. Tym bardziej że zarobki d⁎⁎y nie urywają a i emerytura jest po 25 latach a nie po 15 jak kiedyś.
Zaloguj się aby komentować
W Jakucji spodziewane są mrozy do -60°C, w regionie irkuckim — do -58°C, na terytorium Krasnojarska — do -55°C —Rosyjskie centrum Hydrometeorologiczne.
Nienormalne zimno pojawi się również w regionach Orenburg, Penza i Saratów.
#rosja
Jezu siedzę w jutlandii i mi się pierdola te dwie nazwy i już prawie leciałem kocem auto kryć XD
Całkiem przyjemne temperatury ¯\_(ツ)_/¯

@Miszcz_Joda
> Nienormalne zimno
Ja myślałem że oni przy takich temperaturach dopiero zamykają okna na noc( ͡° ͜ʖ ͡°)
Zaloguj się aby komentować
Dziś w Sejmie I czytanie projektu ustawy Prawo Komunikacji Elektronicznej.
Wg oficjalnej narracji ma dostosować nasze prawo do unijnych regulacji i kompleksowo regulować cały rynek komunikacji elektronicznej.
Rzeczywiście większość nowych przepisów ma chronić klientów przed operatorami ALE… rząd nie byłby sobą, gdyby nie wykorzystał ich do własnych celów…
I tak otworzył furtkę do dostępu do komunikatorów internetowych, w tym do treści elektronicznych w czasie rzeczywistym. Tak, to ma być taki podsłuch założony np. na Messengera lub pocztę mailową.
Rządowy projekt znacząco poszerza uprawnienia służb do inwigilacji polskich obywateli. Policja i wiele innych służb mają uzyskać wgląd w to co przesyłamy za pomocą komunikatorów elektronicznych.
Wszystko podpisane naszym imieniem, nazwiskiem i numerem PESEL (NIP-em i nazwą firmy w przypadku firm) oraz lokalizacją!
Skala inwigilacji, jaką szykuje rząd PiS i Solidarnej Polski przeraża. Nasi władcy i służby im podległe chcą nieograniczonego dostępu do wiedzy o tym, gdzie każdy z obywateli w każdej chwili przebywa oraz znać każde słowo, które napisał lub powiedział do innych przez Internet.
Co więcej, inny przepis tej ustawy daje prezesowi UKE możliwość nałożenia na operatorów konieczności zablokowania np. komunikatora internetowego, jeśli może on zagrażać obronności, bezpieczeństwu państwa oraz bezpieczeństwu i porządkowi publicznemu w ciągu 6 godzin. Bezpieczeństwo i porządek publiczny to szerokie klauzule generalne, w które rząd będzie mógł włożyć wszystko co chce i wyłączyć w całej Polsce np. Messengera lub gmaila.
Nie przypomina Wam to praktyk z krajów o wątpliwej jakości praw człowieka jak Rosja, Białoruś albo Chiny? Projekt ten na pierwszy rzut oka narusza polską Konstytucję i jest sprzeczny nawet z prawem UE, do którego miał go dostosować
Link do projektu ustawy
Jak zwykle niemal nikogo to nie obchodzi, bo w Polsce mamy ważniejsze sprawy, np. sylwester w Zakopanem.
@jerekp zacznijcir mowic ze prawo zmusza rzadzacych do podawania malzonka informacji o zdradzie, jak p⁎⁎dy dostana szalu to zaraz 10 milionów ludzi będzie na ulicach xD
Nic po za rewolucja francuska, wraz z na prawdę powieszeniem tych ludzi, zaraz po tym jak powiesi sie ich najbliższe rodziny (tak, moim zdaniem są wpolwinne bo korzystają z tego skurwysyństwa i złodziejstwa) publicznie nie przestraszy ewentualnych następców. Może i brutalne, ale nie ma innego sposobu na pokonanie sk⁎⁎⁎⁎⁎ynow śmiejących się z krzywdy ludzi prosto w w twarz, niż solidny but bhp na ryju. Przez cały czas, ewentualnie z przerwa na jedzenie.
Zaloguj się aby komentować
Policja zyskała dostęp do komunikatorów. Sprawdzi usunięte wiadomości, polubienia i lokalizację na żywo
Policja bez problemu sprawdzi, co lajkujesz w sieci – jeżeli uzna, że jest taka potrzeba. Dotrze do wszystkich zasobów twojego telefonu, czy tabletu, nawet tych szyfrowanych i usuniętych. Będzie też mogła na żywo śledzić twoją lokalizację.
POLICE KNOCKING ON DOORS OF CANADIANS https://www.youtube.com/watch?v=HhPM8L8Iy7g
@pipek_drenczyciel spójrz na aktualne Chiny i pomyśl "Polska 2028"
@Taki_sobie przeczytałem "Polska 2050"
Zaloguj się aby komentować
Zmarł Król Konstantyn II od Hellenów, ostatni król Grecji, który większość życia spędził na wygnaniu.
Konstantyn od Hellenów, który zmarł w wieku 82 lat, wstąpił na tron Grecji w 1964 r., ale udał się na wygnanie w 1967 r. po przeprowadzeniu nieudanego kontr-zamachu stanu przeciwko greckiej juncie, która przejęła władzę na początku tego roku; w 1974 roku przestał być królem po powszechnym referendum.
#grecja
Zanim przeczytałem resztę, po przeczytaniu nagłówka: "Król Konstantyn II od Hellenów, ostatni król Grecji, który większość życia spędził na wygnaniu", to wyobraziłem sobie od razu taki obrazek.
Potem dopiero doczytałem resztę xD

@Golden_rule
No właśnie, a się okazało że to był taki facio w garniturze
@Miszcz_Joda Nawet nie wiedziałem ze Grecja miała tak długo monarchię. łap pioruna
Zaloguj się aby komentować
Kobieta zginęła w ataku nożownika we Fryburgu. Inna kobieta została ciężko ranna. Podejrzany sprawca został zatrzymany.
#niemcy
Zaloguj się aby komentować
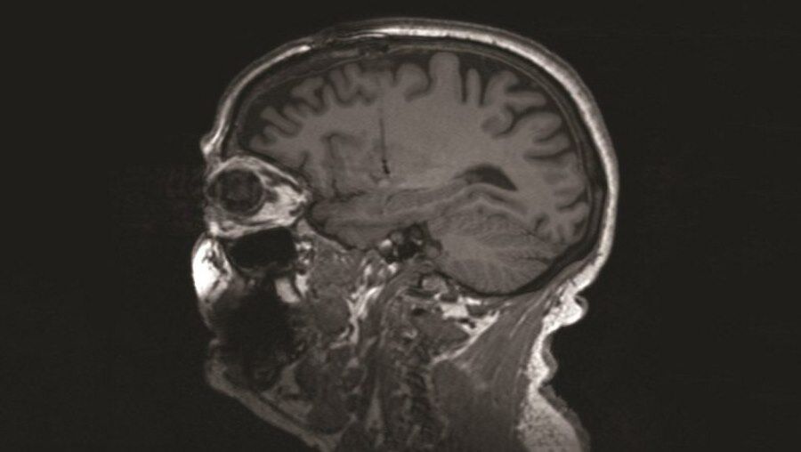
Naukowcy stworzyli „dekoder nastroju”, który może mierzyć depresję
Depresja to trudna i wyniszczająca choroba. Mimo wielu lat badań naukowcy wciąż nie wiedzą wszystkiego na jej temat. Choć wkrótce może to się zmienić. Amerykańscy naukowcy opracowali urządzenie nazwane „dekoderem nastroju”, dzięki któremu można odczytać stan emocjonalny ludzi na podstawie samej obserwacji aktywności mózgu. Uczeni mają nadzieję, że dzięki niemu uda się lepiej poznać tę chorobę.
Depresja jest poważnym i niezwykle złożonym problemem. Zmaga się z nią coraz więcej osób. W tym kontekście przynajmniej pewną pozytywna informacją jest to, że lekarze zapewne dostaną do rąk nowe narzędzie umożliwiające szybsze jej diagnozowanie, bo jak...
Rozszyfrowano tajemnicze symbole na malowidłach naskalnych sprzed 20 tys. lat?
Tajemnicze symbole widniejące na malowidłach naskalnych mogą być pewną formą proto-pisma – wynika z nowych badań. Wydaje się, że społeczności zbieracko-łowieckie z paleolitu w Europie rejestrowały zwyczaje reprodukcyjne zwierząt za pomocą znaków na liczących 20 tys. lat malowidłach naskalnych. Byłaby to to najwcześniejsza forma pisma, jaką kiedykolwiek znaleziono. Jeśli badacze mają rację, stanowi to istny przełom w rozumieniu ewolucji komunikacji.
Zdaniem badaczy myśliwi z ostatniej epoki lodowej używali symboli na ścianach jaskiń, aby przekazać sobie istotne informacje dotyczące przetrwania. Ówcześni ludzie mieli zapisywać cykle...
Nasi przodkowie ubierali się w skóry niedźwiedzi już 320 tys. lat temu
Według badań niemieckich archeologów, nasi przodkowie już 320 tys. lat temu polowali na niedźwiedzie jaskiniowe, by pozyskiwać ich skóry, które służyły im jako odzież. Świadczą o tym precyzyjne nacięcia na kościach znalezionych w jednej z jaskiń w Niemczech. Nowe badania wskazują, że nasi przodkowie w północnej Europie byli w stanie przetrwać trudne zimowe warunki po części właśnie dzięki ciepłym skórom niedźwiedzi.
Jak wiemy nasi prehistoryczni protoplaści polowali na różne gatunki zwierząt. Nie zawsze jednak główną przyczyną tego była chęć zdobycia i spożycia ich mięsa. Jako przykład mogą tutaj posłużyć niedźwiedzie, bo naszym przodkom o...
Naukowcy przewidują, że ekstremalne upały i susze dotkną 90 proc. światowej populacji
Badacze z Oxford's School of Geography przeprowadzili badania nad złożonymi skutkami ekstremalnych upałów związanych z ocieplaniem się klimatu. Wnioski są niepokojące: ryzyko wystąpienia susz i związanego z nimi pogłębienia się nierówności społecznych może dotyczyć nawet 90 proc. światowej populacji. Naukowcy obawiają się również, że świat przyrody nie będzie już w stanie wchłonąć odpowiedniej ilości CO2 z atmosfery, co tylko pogłębi zmiany klimatyczne.
W 2022 r. od Londynu po Szanghaj badacze zaobserwowali rekordowe temperatury. Między innymi na tej podstawie przewidują dalszy ich wzrost na całym świecie. W nowym artykule naukowcy sugerują,...
Kometa niewidziana od 50 tys. lat zbliża się do Ziemi. Będzie ją można obserwować gołym okiem
Część komet przelatuje w okolicach Ziemi regularnie. Inne pojawiają się raz – i znikają w odmętach kosmosu. Astronomowie dostrzegli w ubiegłym roku zbliżającą się do Ziemi kometę, która ostatni raz była widziana jeszcze za czasów neandertalczyków. Kometa C/2022 E3 (ZTF) znajdzie się niedługo niezwykle blisko naszej planety. Na tyle blisko, że będzie można ją obserwować gołym okiem, także z terenów Polski.
Po podróży z lodowych zakątków naszego Układu Słonecznego, kometa C/2022 E3 (ZTF) znajdzie się najbliżej Słońca 12 stycznia, a do Ziemi najbardziej zbliży się 1 lutego. Astronomowie twierdzą, że kometę będzie można obserwować nawet gołym...
Atak nożownika na dworcu w Paryżu. Są ranni
Na dworcu Gare du Nord w Paryżu mężczyzna zaatakował nożem kilka osób. Policjanci otworzyli do niego ogień.
Stacja radiowa France Bleu poinformowała o ataku w środę rano na swojej stronie internetowej. Portal stacji telewizyjnej BFMTV dowiedział się ze źródła w policji, że napastnik zaatakował sześć osób „bronią białą” na dworcu Gare du Nord. Policjanci zneutralizowali go, otwierając do niego ogień. Nożownik został ranny.
https://www.wprost.pl/amp/11041240/atak-z-bronia-na-dworcu-w-paryzu-sa-ranni.html
Zaloguj się aby komentować









